惊心一刻!女子手指离断,重庆郭昌毕中医骨伤医院手外科显微镜下成功再植
近日,重庆郭昌毕中医骨伤医院手外科成功完成一例高难度“左示指清创,多平面离断再植术”,凭借精湛的显微技术成功为吴女士保住受损手指。
01
飞来横祸|机器绞伤,手指多段离断
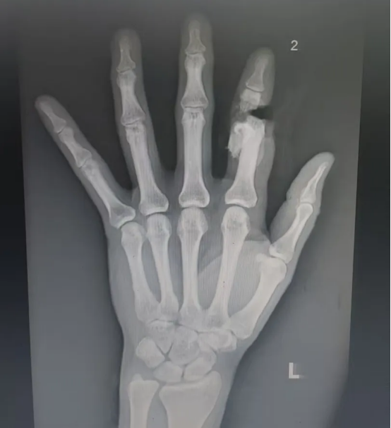
吴女士(化名)在工作时不慎被机器绞伤左手,当即感到示指剧痛、出血并活动受限。家属迅速将其送至重庆郭昌毕中医骨伤医院急诊科。经检查并结合X光片,诊断为“左手示指多层面离断伤”,伴血管、神经、肌腱严重损伤,伤情复杂严峻。
术前摄片
02
生命接力|绿色通道直入手外科
急诊科立即启动绿色通道,将患者收治入手外科。手外科副主任医师杜明江及其团队接诊后,迅速联合手术室、麻醉科等多学科协作,制定周密手术方案,决定为患者实施“左示指清创,多平面离断再植术”。一场与时间赛跑的“指尖保卫战”在手术室中紧张展开。

左示指清创,多平面离断再植术
03
精工再造|显微镜下“绣花”接活断指
手术室内,杜明江副主任医师与其团队在显微镜下如同“绣花”一般,用比头发丝还细的11-0显微缝合线,依次吻合了2个断面,重新建立了手指的血液供应与神经感觉。

术后摄片
当止血带松开,原本苍白的指尖逐渐恢复红润,皮温与毛细血管反应恢复正常——标志着断指血运成功重建!术后,医护团队加强对患者的抗感染、镇痛治疗等,吴女士再植手指血运持续良好。
突发意外手指离断的处理方法
断指保存方法
第一时间将已经断离的手指包裹在干净的毛巾或者纱布中,并将其放入干净密封袋内保存。同时,在另外一个密封袋中装入适当数量的冰水混合物,并将含有离断手指的密封袋放入其中保存。
断指和冰块或冰水不能直接接触,保存温度需控制在0℃~4℃。严禁使用污水、酒精或碘酒等直接冲洗。
手术黄金时间
常温状态下,离断手指再植的最佳时间为6~8个小时,损伤后离断指体条件较好的手指缺血时间可以延长到12~24小时。
断指再植术
随着我国显微外科技术的不断进步,断指再植术逐渐步入人们的视野,该术式 主要在显微镜辅助下进行,可保障手指的完整性,有助于进一步提升指体的美观性及功能的完善性。
科室简介
重庆郭昌毕中医骨伤医院手外科、足踝关节科创建于2009年,是重庆区市涪陵区重点专科科室。科室目前共有医务人员19人,拥有副高职称2人,均有大学本科及以上学历,并经过专业培训与进修学习。科室承担了涪陵区周边区县残肢体残疾儿童筛查矫治工作,对肢体残疾矫正有丰富经验。在肢体矫形方面有独特优势,科内完成涪陵区“雨露助残”、“七彩梦”残疾儿童矫形手术500余例。在涪陵区率先开展应用伊里扎洛夫外固定架治疗长短腿、僵硬性马蹄内翻足、骨缺损骨延长。
- 特色专病项目 -
1)周围神经损伤,2) 成人臂丛损伤显微外科修复重建,3) 断指再植4) 断肢再植,5) 手指再造,6) 合并四肢血管、神经、肌软组织毁损的骨折外伤修复重建,7) 先天畸形矫形,8)外伤痕整形,9) 产瘫、脑瘫后遗症功能重建,10) 手腕、足踝关节矫形,11) 压疮皮瓣修复,12)骨髓炎、骨不连、骨缺损、骨外露的显微修复重建,13) 肘内翻肢体不等长、X型腿、O型腿截骨矫形,14) 股骨头坏死带血管骨瓣移植再生修复,15) 手足外伤、骨折,16) 腕关节、踝关节骨折微创治疗,17)手足骨与软组织肿瘤、骨病的诊治。
来源:




